Skip to main content
Ορθοπαιδικός Χειρουργός - Απόστολος Ν. Ηλίας MD

Βλαισός μέγας δάκτυλος: Θεραπευτική προσέγγιση


Βλαισός μέγας δάκτυλος

Ο βλαισός μέγας δάκτυλος (ή κότσι) είναι μία σύνθετη παραμόρφωση της πρώτης ακτίνας του άκρου ποδός και συχνά συνοδεύεται με παραμορφώσεις και συμπτώματα από τα μικρότερα δάκτυλα. Διακρίνεται στον τύπο των ενηλίκων και στον νεανικό τύπο. Παρατηρείται συχνότερα στις γυναίκες και το 70% των ασθενών έχουν οικογενειακό ιστορικό.

Οι ενδογενείς παράγοντες κινδύνου είναι η κληρονομικότητα, η αστάθεια της 1ης ταρσομετατάρσιας άρθρωσης, η πλατυποδία, η ρευματοειδής αρθρίτιδα και η εγκεφαλική παράλυση. Στους εξωγενείς παράγοντες κινδύνου θεωρείται η χρήση υποδημάτων με υψηλό τακούνι και στενό πρόσθιο μέρος. Συχνά συνοδεύεται με σφυροδακτυλία και παρουσία κάλων στο πέλμα. Ο νεανικός βλαισός μέγας δάκτυλος συχνά είναι αμφοτερόπλευρος και οικογενής και συνοδεύεται από εύκαμπτη πλατυποδία. Ο πόνος δεν είναι κυρίαρχο σύμπτωμα και παρατηρείται ραιβότητα του 1ου μεταταρσίου και αυξημένη διαμετατάρσια γωνία μεταξύ 1ου - 2ου μεταταρσίου.

Παρουσιάζεται με δυσκολία στην υπόδηση λόγω της εσωτερικής προβολής του ποδιού, με πόνο στην 1η μεταταταρσιοφαλαγγική άρθρωση και με παραισθησία εξαιτίας συμπίεσης δακτυλικού νεύρου. Κλινικά παρατηρείται βλαισότητα και πρηνισμός του μεγάλου δακτύλου και μπορεί να διαπιστωθεί δυσκαμψία της 1ης μεταταρσιοφαλαγγικής άρθρωσης, παθολογία της 1ης ταρσομετατάρσιας άρθρωσης, σχηματισμός κάλων και πόνος κάτω από τα σησαμοειδή οστά.

Οι ακτινογραφίες υπό φόρτιση είναι χρήσιμες για τη μέτρηση ειδικών παραμέτρων κατά τον προεγχειρητικό σχεδιασμό, όπως η γωνία βλαισού μεγάλου δακτύλου (φυσιολογικά <15°), η διαμετατάρσια γωνία (<9°), η γωνία μεταξύ της αρθρικής επιφάνειας της κεφαλής του 1ου μεταταρσίου με τον άξονα του 1ου μεταταρσίου (<10°) και η γωνία μεταξύ των αξόνων της εγγύος και της τελικής φάλαγγας του μεγάλου δακτύλου (<10°). Ελέγχεται επίσης η προς τα έξω παρεκτόπιση των σησαμοειδών οστών, η επαλληλία και τυχόν εκφυλιστικές αλλοιώσεις της 1ης μεταταρσιοφαλαγγικής άρθρωσης.

Η πρώτη γραμμή θεραπείας περιλαμβάνει τη χρήση άνετων υποδημάτων με ευρύ πρόσθιο μέρος και χαμηλό τακούνι με ευρεία βάση στην πτέρνα και τη χρήση ειδικών ενθέτων και ορθωτικών, κυρίως σε ασθενείς με πλατυποδία και μεταταρσαλγία. Η χειρουργική διόρθωση χρειάζεται όταν τα συμπτώματα επιμένουν παρά τη συντηρητική αγωγή και δε θα πρέπει να γίνεται μόνο για κοσμητικούς λόγους.

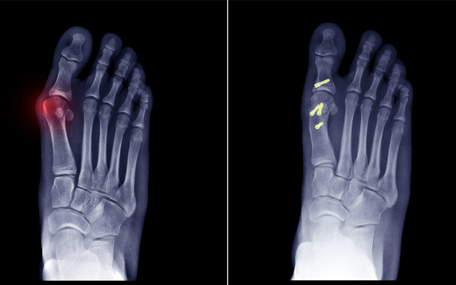
Οι επεμβάσεις μαλακών μορίων (τροποποιημένη τεχνική McBride) γίνονται σε νεαρές γυναίκες με πολύ ήπια νόσο, σχεδόν πάντα συνοδεύονται από οστεοτομία. Οι επεμβάσεις περιφερικής οστεοτομίας 1ου μεταταρσίου (συχνότερα η Chevron) και εγγύος φάλαγγος μεγάλου δακτύλου (οστεοτομία Akin) ενδείκνυνται σε ήπια νόσο (διαμετατάρσια γωνία <13°).

Οι επεμβάσεις κεντρικής οστεοτομίας (συχνότερα η Scarf) ή ο συνδυασμός περιφερικής και κεντρικής οστεοτομίας 1ου μεταταρσίου ενδείκνυνται σε μεγαλύτερες παραμορφώσεις (διαμετατάρσια γωνία > 13°).

Η αρθρόδεση της 1ης μεταταρσιοφαλαγγικής άρθρωσης εκτελείται όταν υπάρχει σοβαρή παραμόρφωση, εκφυλιστική αρθρίτιδα, ουρική ή ρευματοειδής αρθρίτιδα, εγκεφαλική παράλυση, σύνδρομο Down ή Ehlers Danlos. Η αρθρόδεση της 1ης ταρσομετατάρσιας άρθρωσης μαζί με επέμβαση μαλακών μορίων (επέμβαση Lapidus) γίνεται όταν υπάρχει μεγάλη παραμόρφωση, αρθρίτιδα, ραιβό μετατάρσιο, αστάθεια και συνοδός πλατυποδία. Σπάνια πλέον γίνεται η αφαιρετική αρθροπλαστική (επέμβαση Keller), μόνο σε πολύ γηραιούς ασθενείς χαμηλών απαιτήσεων.

Η αρθροπλαστική της 1ης μεταταρσιοφαλαγγικής άρθρωσης είναι μια εναλλακτική θεραπεία σε σοβαρή αρθρίτιδα νέων ασθενών, διατηρώντας λειτουργικό εύρος κίνησης. Τα μακροπρόθεσμα αποτελέσματα και πλεονεκτήματα έναντι της αρθρόδεσης είναι ακόμη υπό εξέταση.

Οι επεμβάσεις διόρθωσης σε εφήβους ασθενείς πρέπει να καθυστερούν μέχρι τη σύγκλιση των οστικών επιφύσεων και τη σκελετική ωριμότητα.

Οι επιπλοκές περιλαμβάνουν την υποτροπή της παραμόρφωσης, τη λοίμωξη, την άσηπτη νέκρωση, την πώρωση σε πλημμελή θέση, την ψευδάρθρωση, τη μεταταρσαλγία λόγω μεταφοράς φορτίων, τη νευραπραξία, τον ραιβό μεγάλο δάκτυλο και την παραμόρφωση του μεγάλου δακτύλου σε υπερέκταση.

Πλέον οι επεμβάσεις αυτού του είδους γίνονται με ημερήσια νοσηλεία χωρίς διανυκτέρευση και ο ασθενής κινητοποιείται άμεσα με ειδικά υποδήματα αποφόρτισης για 6 εβδομάδες περίπου.

Η χειρουργική μας ομάδα προσφέρει εξατομικευμένες λύσεις για τον βλαισό μεγάλο δάκτυλο με πλήρη αποκατάσταση στη φυσιολογική δραστηριότητα.


φωτογραφία του ιατρού Απόστολου Ηλία Απόστολος Ν. Ηλίας | Ορθοπαιδικός Χειρουργός MD